Benefits of Oil Pulling

The swishing of oil in the mouth is known as oil pulling. It is a folk remedy that came from South Asia. It removes bacteria from your mouth and promotes oral hygiene. Sometimes it is associated with Ayurveda, a traditional medicine system from India. Some practitioners claim that oil pulling can treat oral and several other diseases.
Using coconut oil for oil pulling is easy and it fits into regular oral hygiene. Coconut oil is available at grocery stores and you can also find it in online stores. Apart from coconut oil, you don’t need additional ingredients for oil pulling. Oil pulling means that you are pulling the bacteria from your mouth and moisturizing your gums.
Benefits of Oil Pulling
What is Oil Pulling?
Oil pulling helps you to remove the bacteria from the mouth and increases saliva production. All the oral health problems are created from the bacteria in the mouth. For example, you can have a bad breath because of many problems out of which the major one is bacteria. Oil pulling removes the bacteria from your mouth. Hence, bad breath and other oral problems are treated with oil pulling.
For oil pulling, coconut oil is recommended because it is highly absorbable. It is having many health benefits. Mainly, it cures and reduces the fighting harmful bacteria and inflammation. Coconut oil is edible and having fewer risks for oral use. A tablespoon of coconut oil can be swished in the mouth for 15 to 20 minutes. It removes all the plaque and harmful bacteria on your teeth and inside the mouth.
Swishing oil in your mouth for the recommended time, the bacteria and plaque get dissolved in the liquid oil. When you spit it out, the harmful bacteria are removed from the mouth. Coconut oil is recommended for oil pulling because it is having a pleasant taste and your mouth tastes good.
Oral Health Benefits of Oil Pulling
Kills Harmful Bacteria in Your Mouth

Approximately, 700 types of bacteria can live in your mouth. Around 350 harmful bacteria can be found in your mouth at any time. These harmful bacteria contribute to the mouth problems such as bad breath, tooth decay, and gum disease. To reduce the number of harmful bacteria in your mouth, you can do oil pulling. It is a natural remedy that everyone can use.
If you do oil pulling for two weeks, or you use a mouthwash for 15 to 20 minutes a day, you will be able to remove the harmful bacteria from your mouth. Mostly, harmful bacteria are found in your saliva or plaque on your teeth. Oil pulling is not only easy but also a natural remedy to keep oral hygiene healthy.
Helps to Reduce Bad Breath
A lot of people are having bad breath problems that are also known as halitosis. Bad breath is caused by a lot of oral hygiene problems. The main causes of bad breath are due to gum disease, infection, tongue coating, and poor oral hygiene. Tongue coating means that bacteria get trapped on the tongue. All of these reasons cause bad breath.
Most people tend to treat bad breath using a mouthwash or brushing their teeth twice or thrice a day. Oil pulling can be as effective as any mouthwash to remove bad breath. Oil pulling dissolved the bacteria and plaque inside it. When you spit out the oil from your mouth, harmful bacteria are drained off. Other than bacteria, other harmful microorganisms are removed from your mouth causing bad breath.
Helps to Prevent Cavities
Cavities are the main cause of tooth decay. It happens because of poor oral hygiene. If you are eating too much sugar like candies, chocolates, ice creams, cookies, etc. it means that you are building up bacteria in your mouth to cause tooth decay. Tooth decay occurs when holes, pits, or brown and black staining appear on your teeth. Apart from sugar eating, plaque can also be the reason for cavities.
Plaque forms a coating of saliva, bacteria, and food on the teeth. The bacteria break down the food particles and form acid to destroy the tooth enamel. Hence, you get tooth decay. Oil pulling means pulling out the bacteria from your teeth and mouth. It helps to prevent cavities. Instead of using mouthwash, you can use a natural remedy to prevent tooth decay or cavity formation that is oil pulling.
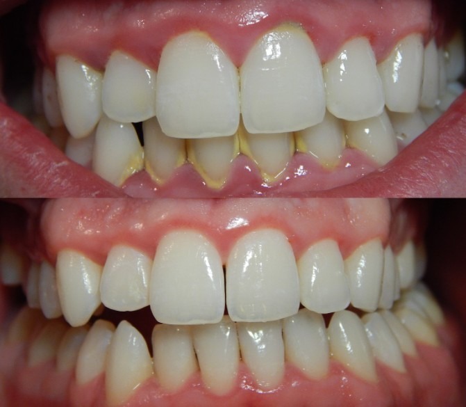
Reduces inflammation and Improves Gum Health
One of the types of gum disease is known as gingivitis. It gives you red and swollen gums that bleed easily. The bacteria found in plaque causes gingivitis. It contributes to the bleeding and inflammation in the gums. Oil pulling is healthy for reducing inflammation and improving gum health. It removes the harmful bacteria and plaque from the mouth known as Streptococcus mutants. This bacterium causes gum disease.
Using oils like coconut oil and sesame oil are having anti-inflammatory properties that aid to reduce the inflammation associated with gum disease. Oil pulling is an effective supplementary treatment. It is as effective as a standard mouthwash.
Naturally Whitens Your Teeth
Multiple factors cause your teeth to look yellow. Your teeth lose their bright sparkle and become dull. It happens because certain food affects the enamel of teeth. They cause stains on the outermost layer of the teeth. Also, the plaque builds up on the teeth to make them yellow. There are plenty of whitening remedies and regular clean to maintain the whitening of the teeth.
Eroded enamel of the teeth reveals the dentin. Dentin is a natural yellow bony tissue that is under the enamel of teeth. To keep the bright sparkle of your teeth, you can try oil pulling. A sunflower oil, sesame oil, or coconut oil can be used for oil pulling. The high content of lauric acid in coconut oil is best for removing harmful bacteria and plaque.
Cheap and Easy for Daily Routine
The biggest benefit of oil pulling is the simple method and easy way to implement it into your daily life. Oil pulling requires only one ingredient that is found in every home. You can use coconut oil or sesame oil to incorporate oil pulling into your daily routine. This natural remedy not only gives you health benefits but also other benefits related to your body.
For example, if you are having bad breath or yellow teeth, you lose your confidence among your friends or colleagues. Oil pulling helps you to remove bad breath and maintains the bright sparkle of teeth. Hence, you will be able to speak out loud and smile widely. It boosts your confidence.
On the other side, if you are having gum disease, tooth decay or cavities, and inflammation then you will not be able to eat anything properly. Also, you will not be able to eat your favorite dishes and fast food or cookies. Oil pulling helps to remove the harmful bacteria and plaque to remove inflammation and improve gum health. You can eat anything you want.
Oil Pulling – Oral Hygiene
If you are having poor oral hygiene, then you are giving birth to a lot of oral diseases. Instead of having gum disease, inflammation, bad breath, cavities, and yellow teeth, you can do oil pulling to cure all of these mouth diseases. You just need to do oil pulling for 15 to 20 minutes each day.
Also, you can do oil pulling while multitasking around the home. By the end of the day, you will be improving oral hygiene and protecting your gums and teeth.




